Seite 1 von 1
Teil 2 - Lycogala epidendrum
Verfasst: So Jun 24, 2018 9:28 am
von gaidusla
Die Fruchtkörper reifen, wobei das Peridium immer resistenter gegenüber physikalischer Einwirkungen wird; die Sporenmasse wird zunächst paströs, später zu einer festen Masse; der Farbton immer dunkler, bis ein dunkles kaffeebraun erreicht ist. Auch die schon erwähnte Oberflächenstruktur ist nun noch besser erkennbar, denn die "Erhebungen" sind dunkler als der Rest:
Der Dateianhang 4d.jpg existiert nicht mehr.
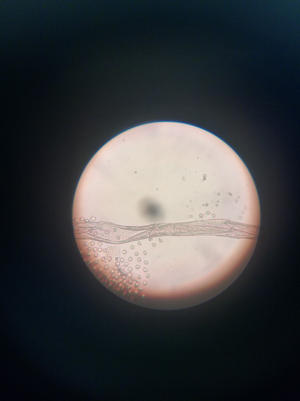
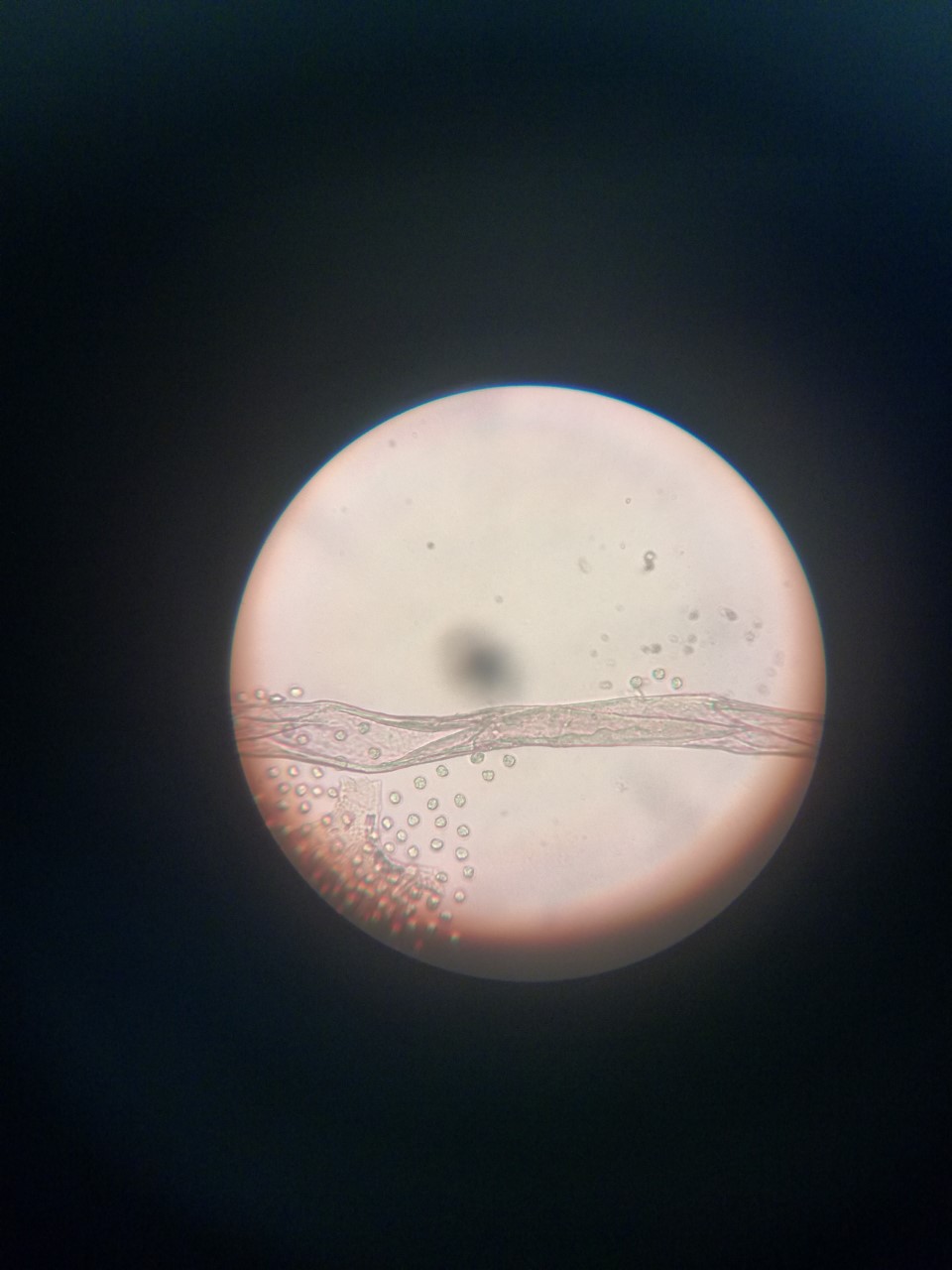
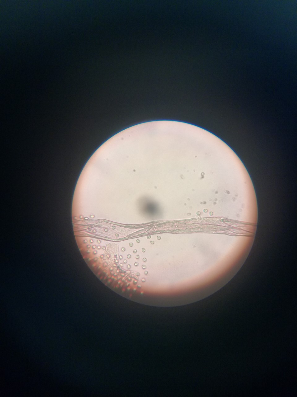
Sporen und Pseudocapillitium sehen unter dem Mikroskop (600-fach vergrößert) folgendermaßen aus:
Der Dateianhang 5d spores.jpg existiert nicht mehr.

- 10-fach vergrößert
- 4d.jpg (48.36 KiB) 1237535 mal betrachtet
Re: Teil 2 - Lycogala epidendrum
Verfasst: Mo Jun 25, 2018 10:17 pm
von schleimpilz-liz
Sehr schöne Aufnahme!
Viele Grüße
schleimpilz-liz
Re: Teil 2 - Lycogala epidendrum
Verfasst: Di Jun 26, 2018 4:05 pm
von gaidusla
Schleimpilze an die Macht!

- Super!!
Irgendwas ist mit den Bildern schief gegangen...
Es gibt auch noch Sporen und Capilitium...
Der Dateianhang 5d spores.jpg existiert nicht mehr.

- 5d spores.jpg (46.28 KiB) 1237529 mal betrachtet
Re: Teil 2 - Lycogala epidendrum
Verfasst: Di Jun 26, 2018 4:06 pm
von gaidusla

- Pseudocapillitium.jpg (124.94 KiB) 1237529 mal betrachtet